Một bé trai mắc chứng bệnh hiếm gặp
Khi thấy bé trai 11 tuổi quê Phú Yên đột ngột ho ra nhiều máu, nhiều lần trong ngày, gia đình lo lắng đã đưa tới bệnh viện địa phương thăm khám. Tuy nhiên, nghi ngờ bé mắc lao phổi, bác sĩ cho chuyển vào bệnh viện Phạm Ngọc Thạch (TP HCM). Tuy nhiên, các xét nghiệm đều cho kết quả âm tính với lao phổi.
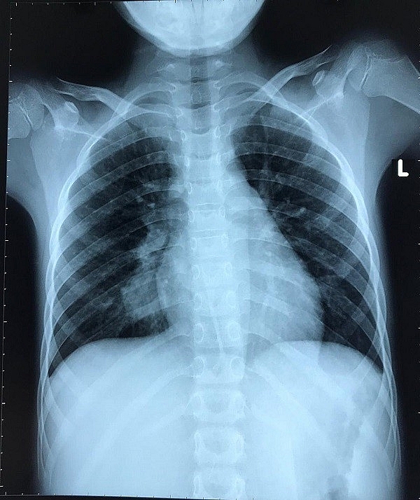
![]() |
| Hình ảnh X quang phổi của bé trước khi phẫu thuật |
Qua hình ảnh chụp phim, nghi có khối u ở phổi phải, bé được chuyển sang bệnh viện Nhi đồng 2. Tại đây, bệnh nhi được CT Scan ngực, phát hiện túi phình động mạch phổi ở thùy dưới phổi phải, kích thước 20x18mm.
Khi tìm nguyên nhân gây giãn động mạch phổi, bác sĩ phát hiện bé mắc chứng bệnh Behcet - bệnh tự miễn hiếm gặp gây nên nhiều biểu hiện trong đó có giãn động mạch phổi.
BS Nguyễn Minh Trí Việt, Trưởng khoa Tim mạch cho hay, trước tình trạng túi phình lớn có nguy cơ vỡ gây xuất huyết phổi có thể khiến bệnh nhi tử vong, ê-kíp đã thông tim can thiệp đóng túi phình cho bệnh nhi. Sau can thiệp, bé không còn ho ra máu, tình trạng sức khỏe dần ổn định.
Theo BS Việt, bệnh Behcet là một bệnh lý tự miễn hiếm gặp gây viêm mạch máu hệ thống, dẫn đến tổn thương da, niêm mạc và các cơ quan nội tạng như đường tiêu hóa, phổi, cơ xương, thần kinh.
Bệnh có thể gây tử vong do vỡ phình mạch máu, đặc biệt là động mạch phổi hoặc gây nên biến chứng thần kinh nghiêm trọng nên cần phải phải được phát hiện và điều trị sớm.
Nguyễn Hưng
-
“Cậu bé” 32 tuổi trở thành đàn ông thực thụ và cao thêm 7 cm sau khi điều trị tại Vinmec
-
Đà Nẵng: Một gia đình nguy kịch do ngạt khí máy phát điện giữa mưa lũ
-
Vận động mỗi sáng, thêm năng lượng cho ngày mới
-
Thực phẩm "bẩn" - Hiểm họa "ẩn mình" trong bữa ăn hằng ngày
-
Cung đường tuyệt đẹp của giải chạy "Vì cộng đồng không ma túy"
- Tử vi tuần mới (24-30/11/2025): Tuổi Tuất tinh thần lạc quan, tuổi Tỵ thành tựu tự hào
- Tuổi trẻ Petrovietnam tổ chức chương trình hiến máu tình nguyện: “Trao yêu thương, tiếp thêm sự sống”
- Tử vi tuần mới (17-23/11/2025): Tuổi Thìn thuận buồm xuôi gió, tuổi Dậu tài vận hanh thông
- Tử vi tuần mới (10-16/11/2025): Tuổi Mùi nguồn thu đa dạng, tuổi Ngọ chủ động vượt khó
- Tử vi tuần mới (3-9/11/2025): Tuổi Sửu cơ hội tiềm năng, tuổi Mão thuận buồm xuôi gió
- Tử vi tháng 11/2025: Tuổi Dần năng lực nổi trội, tuổi Thân cơ hội bứt phá
- Tử vi tuần mới (27/10-2/11/2025): Tuổi Ngọ hung cát đan xen, tuổi Thìn quý nhân dẫn lối
- Tử vi tuần mới (20-26/10/2025): Tuổi Tý bước tiến thuận lợi, tuổi Sửu sự nghiệp khả quan








